Hand fractures

Metacarpal fracture

Hand fractures (or a “broken hand”) can involve either:

  • Metacarpal bones: the 5 bones in the palm of the hand (as shown broken in the image above)

  • Phalanges: the 14 bones within the fingers – two in the thumb, three in each other finger

Symptoms

  • Pain and stiffness

  • Bruising and swelling

  • Deformity: either a crooked finger, or a rotated finger

Diagnosis

X-rays are an important tool for evaluating fractures and determining the optimal treatment. This helps to identify if the fracture is “stable” or “unstable”, and assess how much “displacement” (or shifting between the broken bones) is present at the fracture site. 

Examining the hand is also important to look for abnormal alignment, resulting in a finger appearing “crooked”.  Some fractures may also be rotated.  When attempting to make a fist, a rotated finger will cross over (or scissor with) the neighboring finger.  This is usually poorly tolerated, and these fractures tend to be treated with a reduction (see below).

Treatment

Non-surgical treatment

  • Stable fractures, or minimally displaced fractures, can oftentimes be treated in a cast or splint until the bone heals.

Surgical treatment

  • When the fracture is unstable, notably angulated, notably shifted, or rotated – better outcomes may be achieved with surgery. This may involve setting the bone and placing metal pins across the fracture through the skin.

Fracture of the 5th (small finger) metacarpal bone. When hand fractures are notably bent, or mal-rotated, surgery may improve alignment and motion of the finger. The images here show a small outpatient procedure. The fracture is reduced, or lined up, by manipulating the hand (no incision made). Next, 2 temporary pins are placed though the skin to hold the alignment during fracture healing. The pins are typically removed in the office 2-3 weeks after being placed. Motion is started at that point. More vigorous activities, such as lifting and strengthening, are started ~6 weeks after surgery.

Fracture of the proximal phalanx bone of the ring finger. Spiral, oblique fractures such as this one tend to cause rotational deformities of the finger. In the x-ray on the left, the ring finger can be seen overlapping the pinkie finger. The abnormal positioning will adversely affect function of the finger if it is left to heal in this bent and rotated position. An outpatient procedure can improve the alignment and allow the bone to heal in a normal position. As shown above, the fracture is aligned, and temporary pins are placed through the skin (no incision) to hold the two fractured pieces together. The pins are removed 2-3 weeks later in the office, and motion is started. Strengthening and more vigorous activities are resumed once the fracture has healed (~6 weeks).

Middle phalanx displaced fracture. This fracture was successfully treated with a closed reduction and percutaneous pinning (CRPP). The pin was removed 2.5 weeks after surgery and motion was initiated. The patient had complete return of normal motion, strength and function.

Metacarpal nail. Some metacarpal fractures can be treated with an “intramedullary” nail. This is a screw that goes down the canal of the bone and stabilizes the two fragments together. This technique can allow for earlier motion and return to activities.

Image from Acumed

  • Occasionally, an incision may be required to line up the fragments of bone and hold them in place with a metal plate and screws. There are many different small metal plates and screws designed to fit along the bones within the hand.

  • The optimal treatment depends on the fracture, its location and alignment, and the state of the skin and other soft tissues around the injury.

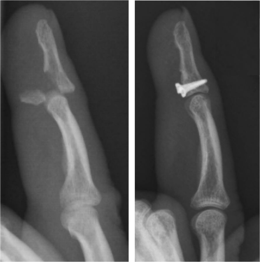
Distal phalanx fracture. Sometimes the tendon that bends the fingertip, called the flexor digitorum profundus tendon, will pull off a piece of the distal phalanx bone. These injuries are oftentimes fixed with one or two small metal screws to hold the pieces of bone back together.

Proximal phalanx fracture of the small finger. The angulation was treated by setting the fracture, and temporary pins were placed through the skin to hold the fracture in place.

Regardless of treatment type, some pain and stiffness is not unexpected throughout the healing process, and therapy is oftentimes used to achieve optimal motion, strength, and function of the hand.

Dr. Schreiber did an amazing job with my broken finger. He was patient and thorough. I would highly recommend him!
— Verified Google Review
schedule an appointment

Dr. Schreiber is a board certified orthopedic surgeon specializing in hand, wrist, and elbow conditions. Dr. Schreiber practices at the Raleigh Orthopaedic Clinic in Raleigh, North Carolina.